حبوب فيمارا لتنشيط المبايض من جربتها: تجربتنا الكاملة مع فرص الحمل والنتائج المتوقعة

ما هي حبوب فيمارا لتنشيط المبايض؟
تُعد حبوب فيمارا لتنشيط المبايض من أكثر الأدوية استخدامًا في علاج تأخر الحمل الناتج عن ضعف أو اضطراب التبويض. الاسم العلمي لها هو ليتروزول Letrozole، وهي في الأصل دواء يُستخدم لعلاج بعض أنواع سرطان الثدي، لكن الأطباء اكتشفوا فعاليتها الكبيرة في تحفيز المبايض على إنتاج بويضات ناضجة بشكل طبيعي وأكثر انتظامًا.
نحن عندما نتحدث عن فيمارا، فإننا نتحدث عن أمل جديد للعديد من النساء اللاتي عانين من اضطراب الدورة الشهرية أو تكيس المبايض أو ضعف التبويض. هذا الدواء يعمل بطريقة ذكية داخل الجسم، حيث يقلل من مستوى هرمون الإستروجين مؤقتًا، مما يدفع الدماغ إلى إفراز المزيد من الهرمونات المحفزة للمبيضين، وبالتالي يتم تنشيط عملية التبويض بشكل ملحوظ.
كيف تعمل حبوب فيمارا على تنشيط المبايض؟
آلية عمل فيمارا تعتمد على تثبيط إنزيم الأروماتاز المسؤول عن تحويل بعض الهرمونات إلى إستروجين. وعند انخفاض الإستروجين، يستجيب الجسم بإفراز هرمون FSH بكميات أكبر، وهو الهرمون المسؤول عن تحفيز المبيض لإنتاج بويضات.
بهذه الطريقة نحصل على:
تحفيز قوي للمبيضين
زيادة فرص خروج بويضة ناضجة
تحسين جودة التبويض
تنظيم أفضل للدورة الشهرية
الكثير من النساء يلاحظن فرقًا واضحًا بعد أول أو ثاني دورة علاجية، خاصة من يعانين من تكيس المبايض.
حبوب فيمارا وتنشيط المبايض مع تكيس المبايض


تعاني نسبة كبيرة من النساء من متلازمة تكيس المبايض أو ما يُعرف بـ متلازمة تكيس المبايض، وهي من أكثر الأسباب شيوعًا لتأخر الحمل. في هذه الحالة، لا تنضج البويضات بشكل طبيعي، مما يمنع حدوث التبويض المنتظم.
هنا تظهر قوة فيمارا، حيث أثبتت الدراسات أنها أكثر فعالية من بعض الأدوية التقليدية في تحفيز التبويض لدى مريضات التكيس. نحن نلاحظ في التجارب الواقعية أن:
نسبة حدوث التبويض ترتفع بشكل ملحوظ.
تقل احتمالية فرط تنشيط المبايض مقارنة ببعض الأدوية الأخرى.
تزيد فرصة الحمل بتوأم ولكن بنسبة أقل من المنشطات القوية.
هذا يجعل فيمارا خيارًا آمنًا وفعالًا في حالات التكيس.
من جربت حبوب فيمارا لتنشيط المبايض؟ تجارب حقيقية
عندما نبحث عن عبارة من جربتها نجد مئات التجارب الإيجابية. العديد من النساء ذكرن أنهن حملن بعد شهرين أو ثلاثة أشهر فقط من استخدام فيمارا. البعض الآخر احتجن إلى 3–6 دورات علاجية حتى تحقق الحمل.
التجارب المتكررة تشير إلى:
انتظام الدورة بعد الاستخدام.
تحسن واضح في التبويض عند متابعة السونار.
حدوث حمل طبيعي دون تدخلات إضافية.
ومع ذلك، تختلف الاستجابة من امرأة لأخرى حسب العمر، الوزن، سبب تأخر الحمل، ومستوى الهرمونات.
طريقة استخدام حبوب فيمارا لتنشيط المبايض
عادةً يصف الطبيب الجرعة وفق الحالة، لكن الجرعة الشائعة تكون:
قرص واحد يوميًا لمدة 5 أيام
تبدأ غالبًا من اليوم الثالث أو الخامس من الدورة الشهرية.
بعد انتهاء الجرعة، يتم متابعة التبويض بالسونار في منتصف الدورة لتحديد موعد خروج البويضة بدقة. في بعض الحالات قد يتم تعديل الجرعة إلى قرصين يوميًا إذا لم يحدث تبويض كافٍ في الدورة الأولى.
نحن ننصح دائمًا بعدم استخدام الدواء دون إشراف طبي، لأن المتابعة الدقيقة ترفع نسبة النجاح وتقلل المضاعفات.
متى يحدث الحمل بعد استخدام فيمارا؟
الحمل قد يحدث من أول شهر استخدام، لكن غالبًا ما تظهر النتائج خلال أول 3 دورات علاجية. إذا لم يحدث حمل بعد 6 دورات، يقوم الطبيب بإعادة تقييم الحالة.
عوامل تزيد فرص الحمل مع فيمارا:
وزن صحي ومتوازن.
متابعة التبويض بالسونار.
تحديد أيام الجماع بدقة خلال فترة الإباضة.
علاج أي اضطرابات هرمونية مرافقة.
أعراض حبوب فيمارا لتنشيط المبايض
رغم فعاليتها، قد تظهر بعض الأعراض الجانبية الخفيفة مثل:
صداع.
دوخة بسيطة.
تعب عام.
هبات ساخنة.
ألم خفيف في أسفل البطن.
هذه الأعراض غالبًا مؤقتة وتختفي بعد انتهاء الجرعة. نادرًا ما تحدث مضاعفات خطيرة عند الالتزام بالجرعات الموصوفة.
الفرق بين فيمارا وكلوميد لتنشيط المبايض
كثيرًا ما تتم المقارنة بين فيمارا ودواء كلوميد. الفرق الأساسي يكمن في آلية العمل ونسبة الاستجابة.
فيمارا:
أقل تأثيرًا سلبيًا على بطانة الرحم.
يقلل احتمالية الحمل المتعدد.
فعال جدًا في حالات تكيس المبايض.
كلوميد:
يُستخدم منذ سنوات طويلة.
قد يسبب جفاف بطانة الرحم عند بعض النساء.
نسبة الحمل بتوأم أعلى.
لذلك يميل الكثير من الأطباء حاليًا إلى وصف فيمارا كخيار أول في بعض الحالات.
ألم أسفل البطن بعد ترك حبوب منع الحمل
هل حبوب فيمارا تزيد الوزن؟
لا توجد أدلة قوية على أن فيمارا تسبب زيادة مباشرة في الوزن. قد تشعر بعض النساء باحتباس بسيط للسوائل، لكنه مؤقت. بالعكس، تحسين التبويض وتنظيم الهرمونات قد يساعد على استقرار الوزن لدى بعض الحالات.
نصائح ذهبية لزيادة فرص الحمل مع فيمارا
نحن نؤمن أن الدواء وحده لا يكفي، لذلك ننصح بـ:
الحفاظ على نظام غذائي صحي غني بالبروتين والخضروات.
تقليل السكريات خاصة لمريضات التكيس.
ممارسة رياضة خفيفة 3 مرات أسبوعيًا.
النوم الجيد وتقليل التوتر.
تناول حمض الفوليك يوميًا.
هذه الخطوات الصغيرة تُحدث فرقًا كبيرًا في النتائج.
متى يجب إيقاف حبوب فيمارا؟
يتم إيقاف الدواء في الحالات التالية:
حدوث حمل.
عدم الاستجابة بعد عدة دورات.
ظهور أعراض جانبية قوية.
توصية الطبيب بالانتقال لخطة علاج أخرى.
المتابعة الطبية هي الأساس لضمان الأمان والنجاح.
الخلاصة: هل تستحق حبوب فيمارا التجربة؟
عندما ننظر إلى التجارب الواقعية والنتائج الطبية، نجد أن حبوب فيمارا لتنشيط المبايض تمثل خيارًا فعالًا وآمنًا لكثير من النساء الباحثات عن الحمل. هي ليست مجرد دواء، بل أمل جديد يعيد الثقة والطمأنينة.
لكل امرأة تسأل “من جربتها؟” الإجابة الواقعية هي أن آلاف النساء استفدن منها، لكن التجربة تختلف حسب الحالة الفردية. القرار الصحيح يبدأ باستشارة طبيب متخصص، ثم الالتزام بالخطة العلاجية بكل دقة.
الحلم بالأمومة يستحق المحاولة المدروسة، ومع المتابعة الصحيحة يمكن أن تكون فيمارا خطوة حقيقية نحو تحقيق هذا الحلم.
قصتي مع حبوب فيمارا: بين القلق والأمل
عندما تبدأ المرأة رحلة استخدام حبوب فيمارا لتنشيط المبايض، فهي لا تبدأ مجرد علاج طبي، بل تبدأ رحلة مليئة بالمشاعر المختلطة. هناك خوف من الفشل، وأمل في النجاح، وترقب لكل يوم يمر. كل موعد سونار يصبح حدثًا مهمًا، وكل نتيجة تحليل تحمل بين طياتها حلمًا قد يتحقق.
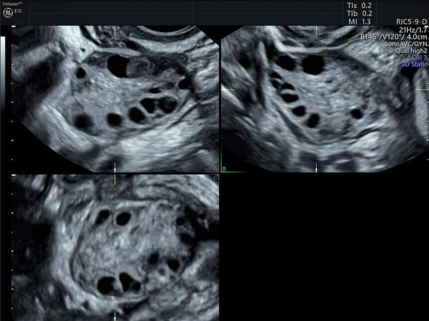
الكثير من النساء يروين أن أول دورة علاجية كانت مليئة بالتوتر، لكن مع رؤية البويضة تكبر على شاشة السونار، يبدأ الأمل يكبر معها. حجم البويضة عندما يصل إلى 18–22 ملم يكون مؤشرًا قويًا على قرب التبويض، وهنا تتجدد المشاعر ويبدأ العد التنازلي لأجمل خبر قد يغير الحياة بالكامل.
نحن لا نتحدث هنا عن أرقام جامدة، بل عن قلوب تنتظر، وبيوت تحلم بضحكة طفل.
متى تظهر نتيجة التبويض بعد فيمارا؟
غالبًا ما يحدث التبويض بين اليوم 12 إلى 18 من الدورة، لكن الأمر يختلف من امرأة لأخرى. بعض النساء يلاحظن أعراض الإباضة بوضوح، مثل:
ألم خفيف في أحد جانبي أسفل البطن.
إفرازات شفافة مطاطية.
ارتفاع طفيف في درجة حرارة الجسم.
هذه العلامات تصبح مصدر فرح، لأنها تعني أن الجسم استجاب وأن المبيض بدأ يعمل بكفاءة. المتابعة الدقيقة تساعد على تحديد أفضل توقيت للجماع، مما يرفع نسبة حدوث الحمل بشكل كبير.
هل يحدث حمل بتوأم مع فيمارا؟
من الأسئلة الشائعة: هل تزيد حبوب فيمارا فرصة الحمل بتوأم؟
الإجابة أن فيمارا قد تحفز خروج أكثر من بويضة في الدورة الواحدة، لكن نسبة الحمل بتوأم تظل أقل مقارنة ببعض المنشطات الأخرى. ومع ذلك، تبقى الاحتمالية قائمة.
الحمل بتوأم قد يكون مفاجأة جميلة للبعض، لكنه يحتاج متابعة دقيقة لأن الحمل المتعدد يتطلب عناية خاصة منذ الشهور الأولى.
فيمارا وتأثيرها على بطانة الرحم
من المميزات المهمة لفيمارا أنها لا تؤثر سلبًا على بطانة الرحم مثل بعض الأدوية الأخرى. بطانة الرحم الجيدة يجب أن تكون بسماكة مناسبة (عادةً 7 ملم أو أكثر وقت الإباضة)، لأن هذا يوفر بيئة مثالية لانغراس البويضة المخصبة.
عندما تكون البطانة صحية، تزيد فرص نجاح الحمل بشكل طبيعي. وهذا ما يجعل فيمارا خيارًا مفضلًا لدى العديد من الأطباء، خاصة للنساء اللاتي عانين سابقًا من ضعف سماكة البطانة.
ماذا نفعل إذا لم يحدث حمل بعد عدة أشهر؟
في بعض الحالات، لا يحدث الحمل رغم حدوث تبويض جيد. هنا يجب التوقف قليلًا لإعادة تقييم الصورة كاملة:
فحص السائل المنوي للزوج.
التأكد من سلامة قنوات فالوب.
تحليل الهرمونات بشكل شامل.
تقييم مخزون المبيض (AMH).
أحيانًا يكون السبب بسيطًا ويتم حله بسهولة، وأحيانًا يحتاج الأمر إلى خطة علاج مختلفة مثل الحقن المنشطة أو التلقيح الصناعي. المهم ألا نفقد الأمل، فكل مرحلة هي خطوة تقربنا من الهدف.
الدعم النفسي أثناء استخدام فيمارا
الجانب النفسي لا يقل أهمية عن العلاج نفسه. التوتر والقلق المستمر قد يؤثران على توازن الهرمونات. لذلك ننصح دائمًا بـ:
الابتعاد عن القصص السلبية.
تجنب المقارنات مع الآخرين.
ممارسة تمارين الاسترخاء.
التقرب إلى الله بالدعاء والطمأنينة.
الحالة النفسية الهادئة تمنح الجسد فرصة أفضل للاستجابة. الإيمان بأن لكل شيء وقتًا مناسبًا يخفف كثيرًا من الضغط الداخلي.
علامات نجاح حبوب فيمارا وتنشيط المبايض
من أبرز المؤشرات الإيجابية بعد استخدام فيمارا:
انتظام الدورة الشهرية.
ظهور بويضات بحجم مناسب في السونار.
تحسن نتائج تحليل البروجسترون بعد التبويض.
حدوث أعراض حمل مبكرة مثل تأخر الدورة وألم الثدي.
كل علامة صغيرة قد تكون بداية قصة كبيرة.
هل يمكن تكرار استخدام فيمارا لأكثر من دورة؟
نعم، يمكن استخدام فيمارا لعدة دورات متتالية تحت إشراف الطبيب. غالبًا ما يتم تقييم النتائج بعد 3 إلى 6 دورات. إذا كانت الاستجابة جيدة، يمكن الاستمرار. أما إذا لم تظهر نتائج، فقد يتم تعديل الجرعة أو تغيير الخطة العلاجية.
الاستخدام المنظم وتحت إشراف طبي يضمن الأمان ويزيد فرص النجاح.
أخطاء شائعة تقلل فرص الحمل مع فيمارا
بعض الأخطاء قد تضعف النتيجة رغم فعالية الدواء:
عدم الالتزام بمواعيد الجرعات.
تجاهل متابعة السونار.
إهمال وزن الجسم الزائد.
الجماع العشوائي دون حساب أيام التبويض.
التوتر الشديد والضغط النفسي.
تصحيح هذه الأخطاء قد يصنع فرقًا واضحًا في النتيجة النهائية.
رسالة أمل لكل من تبحث عن تجربة ناجحة
إذا كنتِ تقرئين الآن وتبحثين عن إجابة لسؤال “من جربت حبوب فيمارا لتنشيط المبايض؟”، فاعلمي أن التجارب كثيرة، والنجاحات موجودة، لكن لكل امرأة رحلتها الخاصة. قد يحدث الحمل سريعًا، وقد يحتاج إلى وقت أطول، لكن الأمل لا يجب أن ينطفئ.
رحلة العلاج ليست سهلة، لكنها تستحق الصبر. كل تحليل، كل سونار، كل دعاء في جوف الليل، هو خطوة نحو حلم الأمومة. لا تدعي الخوف يسرق منكِ الفرصة، ولا تسمحي للإحباط أن يسيطر على قلبك.
الأمل موجود، والطب يتطور، والفرص تتجدد مع كل دورة جديدة.
الحلم قد يكون أقرب مما تتوقعين.
متى أبدأ القلق؟ ومتى أطمئن؟
من أكثر اللحظات صعوبة بعد استخدام حبوب فيمارا لتنشيط المبايض هي فترة الانتظار بعد التبويض. تلك الأيام القليلة بين الإباضة وموعد الدورة تبدو طويلة جدًا، وكأن الوقت يتحرك ببطء شديد. كل شعور في الجسد يتم تفسيره، وكل ألم بسيط يثير تساؤلات لا تنتهي.
لكن متى نقلق فعلًا؟
إذا حدث تبويض جيد ولم يحدث حمل خلال أول شهر أو شهرين، فهذا طبيعي جدًا. نسبة حدوث الحمل في كل دورة حتى مع التبويض المثالي لا تتجاوز 20–25٪ تقريبًا. لذلك نحن نحتاج إلى الصبر، لأن الحمل عملية دقيقة تتداخل فيها عوامل كثيرة.
أما الاطمئنان فيبدأ عندما نرى استجابة واضحة في السونار، وعندما تتحسن الدورة الشهرية، وعندما يخبرنا الطبيب أن حجم البويضة ممتاز وأن بطانة الرحم مناسبة. هذه مؤشرات قوية أننا نسير في الطريق الصحيح.
فيمارا وتأثير العمر على فرص الحمل
العمر يلعب دورًا مهمًا في رحلة الحمل. كلما كانت المرأة أصغر سنًا، كانت جودة البويضات أعلى وفرصة الاستجابة للمنشطات أفضل. لكن هذا لا يعني أن الأمل يتوقف بعد سن معينة.
النساء في أوائل الثلاثينات غالبًا يستجبن بسرعة، بينما قد تحتاج النساء بعد سن 35 إلى متابعة أدق وخطة علاج أكثر تنظيمًا. المهم أن يتم تقييم مخزون المبيض مبكرًا، لأن المعرفة تمنحنا فرصة اتخاذ القرار الصحيح في الوقت المناسب.
لا شيء يضاهي شعور امرأة ظنت أن الوقت تأخر عليها، ثم تفاجأت بخبر الحمل. الأمل لا يرتبط برقم في الهوية، بل بإرادة قوية وخطة علاج مدروسة.
هل يمكن الجمع بين فيمارا وإبرة التفجير؟
في بعض الحالات، يصف الطبيب إبرة تفجير بعد استخدام فيمارا، خاصة إذا كانت البويضة ناضجة ولكن لم يتم التأكد من موعد خروجها بدقة. الإبرة تساعد على إطلاق البويضة خلال 36 ساعة تقريبًا، مما يسهل تحديد التوقيت المناسب للجماع.
هذا الدمج بين فيمارا وإبرة التفجير قد يرفع فرص الحمل بشكل واضح، خصوصًا في حالات ضعف التبويض البسيط. لكن القرار دائمًا يكون طبيًا بناءً على المتابعة الدقيقة بالسونار.
تجارب تأخر الحمل سنوات… ونهاية سعيدة
هناك نساء انتظرن سنوات طويلة قبل أن يبدأن باستخدام فيمارا. بعضهن جرّبن أدوية متعددة دون نتيجة، ثم كان فيمارا هو المفتاح الذي فتح الباب المغلق.
تخيلوا شعور امرأة تسمع نبض الجنين لأول مرة بعد سنوات من الانتظار. دموع الفرح تختلط بذكريات الألم، وكل لحظة تعب تتحول إلى معنى جميل. هذه ليست مجرد قصة، بل واقع عاشته الكثيرات.
كل دورة علاجية كانت اختبارًا للصبر، وكل نتيجة سلبية كانت درسًا في الثبات. لكن النهاية كانت أجمل مما تخيلن.
هل يمكن أن يفشل فيمارا؟
نعم، في بعض الحالات قد لا تكون الاستجابة كافية. قد لا تنمو البويضات بالحجم المطلوب، أو قد يحدث تبويض دون حمل. هذا لا يعني أن الطريق انتهى، بل يعني أن الخطة تحتاج تعديلًا.
الفشل المؤقت ليس نهاية، بل هو جزء من رحلة العلاج. الطب الحديث يوفر بدائل متعددة، مثل زيادة الجرعة، أو التحول إلى حقن منشطة، أو اللجوء إلى تقنيات مساعدة على الإنجاب.
المهم ألا نربط قيمتنا بنتيجة اختبار، وألا نحكم على أنفسنا بقسوة. الجسد يحتاج أحيانًا إلى وقت أطول فقط.
أهمية المتابعة الدقيقة خلال العلاج
نحن نؤكد دائمًا أن نجاح حبوب فيمارا لتنشيط المبايض لا يعتمد على تناول الدواء فقط، بل على:
السونار المتكرر لمتابعة حجم البويضات.
قياس هرمون البروجسترون بعد التبويض.
متابعة سماكة بطانة الرحم.
تقييم أي أعراض غير طبيعية.
المتابعة تمنحنا رؤية واضحة، وتمنع المفاجآت غير المتوقعة. كل خطوة محسوبة تزيد فرص الوصول إلى الحمل بأمان.
نمط الحياة ودوره في نجاح العلاج
لا يمكن تجاهل تأثير نمط الحياة. الغذاء المتوازن، تقليل التوتر، شرب الماء بكثرة، والابتعاد عن السهر الطويل، كلها عوامل تدعم استجابة الجسم للدواء.
مريضات تكيس المبايض تحديدًا يستفدن كثيرًا من تقليل الكربوهيدرات وممارسة المشي اليومي. التغيير البسيط في العادات قد يحدث فرقًا كبيرًا في النتائج.
الجسم عندما يشعر بالاستقرار، يعمل بكفاءة أعلى.
لحظة اختبار الحمل… أقوى لحظة في الرحلة
بعد انتهاء أيام الانتظار، تأتي اللحظة الحاسمة: اختبار الحمل.
تلك الدقائق القليلة قبل ظهور النتيجة تكون كأنها عمر كامل. القلب ينبض بسرعة، والأنفاس تتسارع، والدعاء يملأ المكان.
وعندما يظهر الخط الثاني، حتى لو كان خفيفًا، تتغير الدنيا كلها. يتحول القلق إلى فرح، والتعب إلى امتنان، والخوف إلى يقين بأن الصبر لم يذهب سدى.
وحتى إن كانت النتيجة سلبية، فهذا لا يعني النهاية. يعني فقط أن المحاولة القادمة تحمل فرصة جديدة.
كلمة أخيرة من القلب
رحلة استخدام حبوب فيمارا لتنشيط المبايض ليست مجرد بروتوكول طبي، بل قصة أمل تعيشها آلاف النساء. بين الخوف والرجاء، بين التحاليل والانتظار، يولد إصرار قوي على تحقيق حلم الأمومة.
نحن نؤمن أن لكل امرأة توقيتها الخاص، وأن الأقدار تأتي في اللحظة الأنسب لنا، حتى لو تأخرت قليلًا. الصبر ليس ضعفًا، بل قوة صامتة تقودنا إلى المعجزة المنتظرة.
إذا كنتِ في بداية الطريق، فامشي بثقة.
وإذا كنتِ في منتصفه، فلا تتراجعي.
وإذا تعبتِ، تذكري أن النهاية قد تكون أقرب مما تظنين.
الحلم يستحق… والمحاولة تستحق… وأنتِ تستحقين الفرح.

