الحمل بكيس فاضي: اسبابه وأعراضه وفرص الحمل الطبيعي بعده
اسباب الحمل بكيس فاضي قلق الكثير من النساء، لكنها حالة نادرة وغالباً ما تكون طبيعية. هذا النوع من الحمل يحدث عندما يتشكل كيس في الرحم بدون تكون جنين بداخله. في هذه المقالة، سنستكشف بعض الأسباب الشائعة لحدوث الحمل بكيس بدون جنين وكيفية التعامل معه.
ما هو الحمل بكيس فاضي؟
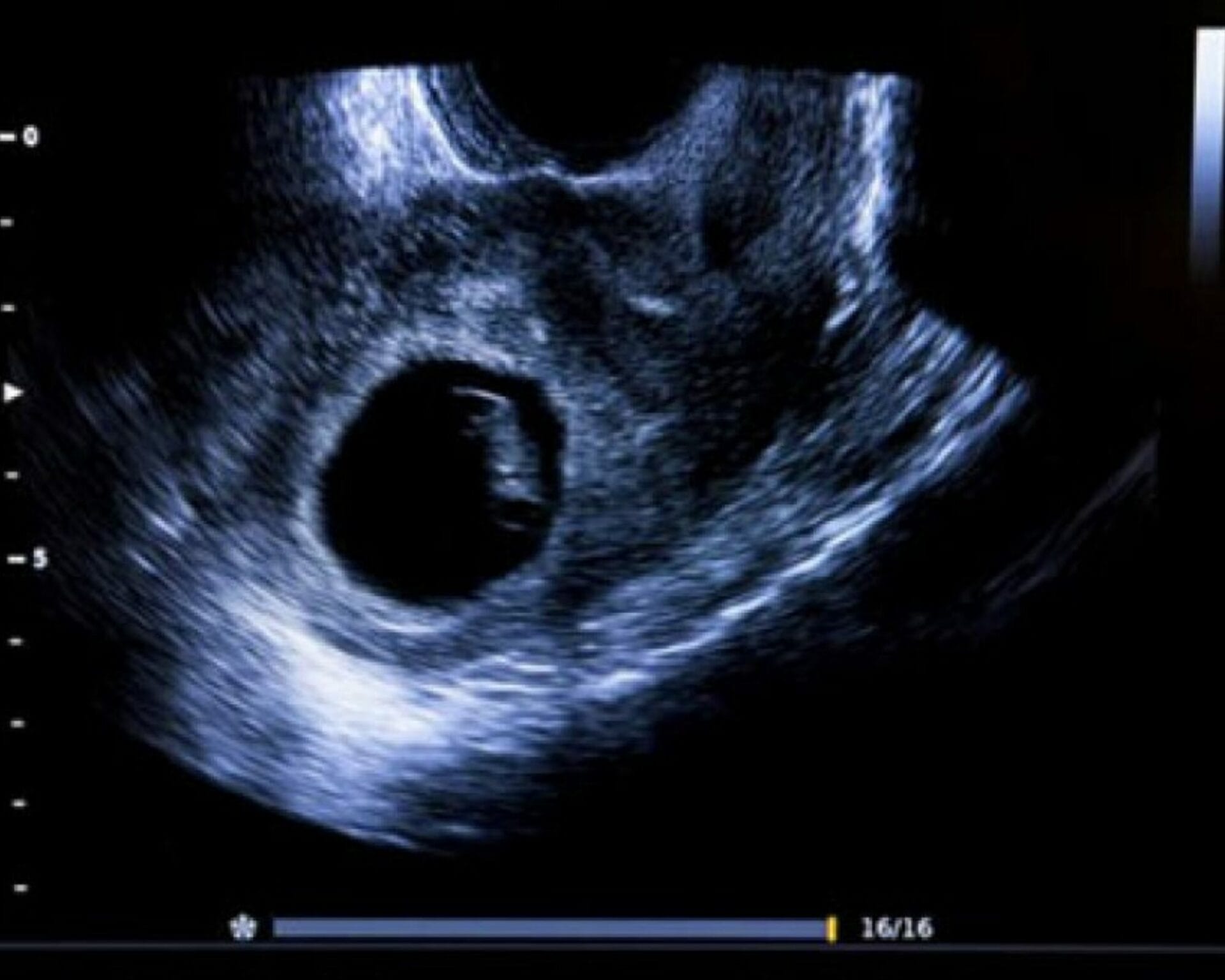
الحمل بكيس فاضي هو حالة نادرة تحدث عندما يتشكل كيس فاضي في الرحم بدون وجود جنين داخله. في هذه الحالة، يتطور الكيس الأولي (المشيمة) بشكل طبيعي، ولكن لا يتطور الجنين. يعتبر الحمل بكيس فاضي نوعًا من إجهاض المفرط، حيث أن جسم المرأة يظهر علامات حمل مثل زيادة مستوى هرمون β-hCG، لكن صورة الموجات فوق الصوتية تظهر افتقارًا لأية هيئات جنينية. قد تظهر أعراض مثل نزف وآلام شبيهة بآلام الحيض.
اسباب الحمل بكيس فاضي
يشير الحمل بكيس فاضي إلى حالة نادرة تتميز بتشكل كيس فاضي في الرحم دون وجود جنين داخله. يعني ذلك أن المشيمة تتطور بشكل طبيعي، لكن لا يحدث تطور للجنين. رغم أن المرأة قد تعاني من أعراض الحمل المبكرة وزيادة مستوى هرمون β-hCG في الدم، إلا أن صورة الموجات فوق الصوتية تظهر عدم وجود جسم جنيني في الكيس. تصاحب هذه الحالة أعراض مثل نزف خفيف وآلام شبيهة بآلام الحيض. يعود التشخيص دقته إلى الفحص الطبي بالموجات فوقَ صَوتِيةٍ عفْويةٍ واختبارات من قِبَلِ مُخِتَصِّ هذا المجال. من المهم مشاركة قصَّةٍ سابقة لأى استخدامات بروجسترون أو استفاءَ بأعشاب التي رُبِمَا استَعْمِلَتْ في محاولةٍ لزيادَةِ فُرص الحمل
أعراض وتشخيص الحمل بكيس فاضي

تظهر أعراض الحمل بكيس فاضي عادة في وقت مبكر من الحمل وتشمل نزيف خفيف أو آلام شبيهة بآلام الحيض. قد يشعر المرأة بانتفاخ في الثدي وغثيانًا خفيفًا. لدى التشخيص، يجرى فحص طبِّي لقِسْمِ الحوَضِ ومختص لفحوصات تلسك-RMI, RHA سية ل تتضمن صور الموجات فوق الصوتية العفْوية. كذلك يتم قياس مستوى هرمون β-hCG في الدم. استشارة طبيب مُخِتَصٍّ يُعَدّ ہامة جدا َetermined to reach a definitive diagnosis.
الأسباب الجينية والوراثية
تُعَدّ الأسباب الجينية والوراثية أحد العوامل المحتملة لظهور الحمل بكيس فاضي. قد يكون هناك تغيرات في الجينات أو خلل وراثي يؤثر على تطور الجنين ونموه بشكل طبيعي. قد تتسبب هذه التغيرات في اضطرابات في نقص مستوى هرمونات مثل البروجسترون، وتشوهات رحمية، وعقم، وإجهاض متكرر. قد يؤدي سن اليأس أيضًا إلى زيادة احتمالية حدوث حمل بكيس فاضي نظرًا لانخفاض جودة البويضات المفقودة. التشخيص المبكر والعلاج المناسب يمكن أن يُسَاعِدَان في التغلب على هذه المشكلة.
العوامل الجينية المرتبطة بالحمل بكيس فاضي
تعد الأسباب الجينية والوراثية عاملاً محتملاً لظهور الحمل بكيس فاضي. يمكن أن تتسبب التغيرات في الجينات أو الخلل الوراثي في اضطرابات في نقص مستوى هرمونات مثل البروجسترون، وتشوهات رحمية، وعقم، وإجهاض متكرر. بعض هذه التغيرات يمكن أن تُورَثَ للأجيال المقبلة، مما يزيد من احتمالية حدوث الحمل بتشكيل كيس فارغ. يُسَاعِدُ التشخيص المبكر والعلاج المناسب في التغلب على هذه المشكلة وزيادة فرص الحمل الصحيح.
الوراثة وعلاقتها بظهور الحمل بكيس فاضي
تلعب العوامل الجينية دورًا هامًا في ظهور الحمل بكيس فاضي. يمكن أن تؤدي التغيرات الجينية والخلل الوراثي إلى اضطرابات في مستوى هرمونات مثل البروجسترون، مما يؤثر على نمو الأنسجة في الرحم والمشيمة. قد تُورَث بعض هذه التغيرات للأجيال المقبلة، مما يزيد من احتمالية حدوث الحمل بتشكيل كيس فارغ. لذا، فإن التشخيص المبكر لهذه التغيرات الجينية والوراثية يساعد في اتخاذ خطوات مناسبة لزيادة فرص حدوث حمل صحي.

العوامل العقلية والنفسية
تشير الدراسات إلى أن العوامل العقلية والنفسية يمكن أن تؤثر بشكل كبير على حدوث الحمل بكيس فاضي. التوتر والضغوط النفسية يمكن أن يؤديان إلى اضطرابات هرمونية تؤثر على نمو الأنسجة في الرحم والمشيمة. بالإضافة إلى ذلك، قد تظهر اضطرابات نفسية مثل الاكتئاب أو القلق عند المصابات بهذا المشكلة، مما يزيد من تأثيرها سلبًا على حدوث حمل ناجح. لذا، من المهم معالجة هذه العوامل وتقديم الدعم النفسي المناسب للأشخاص المتأثرين بهذه المشكلة.
التوتر والضغوط النفسية وتأثيرها على الحمل بكيس فاضي
التوتر والضغوط النفسية يمكن أن يؤثران بشكل كبير على حدوث الحمل بكيس فاضي. عندما يكون الشخص تحت ضغوط نفسية شديدة، تحدث اضطرابات في إفراز الهرمونات وتوازنها، مما يؤثر على نمو الأنسجة في الرحم والمشيمة. قد يؤدي التوتر أيضًا إلى اضطرابات نفسية مثل الاكتئاب أو القلق، مما يزيد من تأثيره سلبًا على حدوث حمل ناجح. لذلك، من المهم أن يتعامل الأشخاص المصابون بهذه المشكلة مع التوتر والضغوط النفسية بشكل صحيح وأن يتلقوا الدعم اللازم للاستعادة.
انعكاسات الاضطرابات النفسية على الحمل
انعكاسات الاضطرابات النفسية على الحمل يمكن أن تكون كبيرة ومؤثرة. فالتوتر والقلق المستمر يمكن أن يؤثران سلبًا على التوازن الهرموني في جسد المرأة، مما قد يجعل من الصعب حدوث الحمل بشكل طبيعي. بالإضافة إلى ذلك، قد تؤدي اضطرابات نفسية مثل الاكتئاب إلى تغيير في مستوى هرمون β-hCG، الذي يلعب دورًا هامًا في حفظ وتطور الحمل. لذا، من المهم أن يتابع الأشخاص المصابون بالاضطرابات النفسية مع مختصي الصحة ويتلقوا الدعم والعلاج المناسب لتحقيق حمل ناجح.
العوامل البيئية والصحية
تلعب العوامل البيئية والصحية دورًا في ظهور الحمل بكيس فاضي. يمكن أن يكون التعرض للمواد الكيميائية المضرة مثل المبيدات الحشرية والمبيدات المستخدمة في المنزل عاملاً مساهمًا في ظهور حالة الحمل بكيس فاضي. بالإضافة إلى ذلك، قد تكون بعض الأمراض المزمنة مثل ارتفاع ضغط الدم والسكري والأمراض الجنسية المنقولة جنسيًا عواملاً رئيسية في حدوث هذه المشكلة. لذا، من المهم اتخاذ إجراءات وقائية مثل تجنب التعرض للعوامل البيئية الضارة ومتابعة وظائف الجسم بانتظام لتقليل فرص حدوث حمل بكيس فاضي.
التعرض للمواد الكيميائية وانعكاسها على الحمل بكيس فاضي
يمكن أن يلعب التعرض للمواد الكيميائية دورًا في ظهور حالة الحمل بكيس فاضي. فعند تعرض المرأة للمبيدات الحشرية والمبيدات المستخدمة في المنزل، قد يتسبب ذلك في تغير هرموني في جسمها وتأثير سلبًا على عملية التشكيل الجنينية. قد يتسبب هذا التأثير في حدوث حالة حمل بكيس فاضي. لذا، من المهم تجنب التعرض المفرط للمواد الكيميائية واتخاذ الإجراءات الوقائية لحماية نفسك وصحتك.
الحالات الصحية المرتبطة بظهور الحمل بكيس فاضي
تعد الحالات الصحية المرتبطة بظهور الحمل بكيس فاضي نادرة وغير شائعة. ومع ذلك، قد يكون لبعض الحالات الصحية علاقة بهذا النوع من الحمل. يمكن أن يشير الحمل بكيس فاضي إلى اضطراب في التوصيل المنصوب، حيث يفتقر الجنين إلى تشكيل مادة التوصيل المنصوب داخل الرحم. قد تؤدي بعض المشاكل الصحية مثل التشوهات الخلقية في رحم المرأة أو اضطرابات مناعة ذاتية إلى زيادة خطر حدوث حالة حمل بكيس فاضي. من المهم استشارة طبيب مختص لتشخيص وعلاج هذه الحالات.

التداخل بين الأسباب المختلفة
يمكن أن يكون للتداخل بين الأسباب المختلفة تأثير على حدوث الحمل بكيس فاضي. فعلى سبيل المثال، قد يؤدي التراكم المشترك للعوامل الجينية والعقلية والبيئية إلى زيادة خطر حدوث هذا النوع من الحمل. كذلك، قد تتفاعل بعض الأسباب مع بعضها البعض لزيادة احتمالية ظهور الحمل بكيس فاضي. يجب على المرأة التشاور مع طبيبها لتقدير مخاطرها الشخصية واتخاذ التدابير المناسبة لتجنب هذه الحالة.
تأثير تراكم الأسباب المختلفة على حدوث الحمل بكيس فاضي
تؤثر تراكم الأسباب المختلفة على احتمالية حدوث الحمل بكيس فاضي. قد يزيد التعرض للعوامل الجينية والعقلية والبيئية من خطر حدوث هذا النوع من الحمل. على سبيل المثال، إذا كانت المرأة تحمل أورامًا في رحمها أو تعاني من مشاكل في نقص هرمون البروجسترون، فإن ذلك قد يزيد من احتمالية ظهور الحمل بكيس فاضي. لذا يجب على المرأة استشارة طبيبها واتخاذ التدابير اللازمة لتفادي هذه المشكلة.
التداخل بين العوامل الجينية والعقلية والبيئية
التداخل بين العوامل الجينية والعقلية والبيئية يمكن أن يزيد من خطر حدوث الحمل بكيس فاضي. قد تؤثر العوامل الجينية في التشوهات الرحمية، مما يجعل الرحم غير صالح لاستقبال الجنين بشكل صحيح. من ناحية أخرى، قد تزيد العوامل العقلية مثل التوتر والضغوط النفسية من احتمالية حدوث هذا النوع من الحمل. بالإضافة إلى ذلك، تأثيرات العوامل البيئية مثل التعرض للمواد الكيميائية قد تؤدي أيضًا إلى حدوث حمل بكيس فاضي. لذا، من المهم أن نفهم كافة هذه العلاقات وأن نتخذ إجراءات وقائية لتفادي هذه المشكلة.
هل ينمو كيس الحمل بدون جنين؟
نعم، من الممكن أن ينمو كيس الحمل بدون وجود جنين داخله، وهذا ما يُعرف بـ “كيس الحمل الفارغ”. تحدث هذه الحالة عندما يبدأ الجسم في إعداد بيئة آمنة لاستقبال الجنين، ولكن للأسف لا يتم إلقاح البويضة أو لا يلتصق الجنين بجدار الرحم بشكل صحيح.
في البداية، لا تختلف عملية نمو كيس الحمل الفارغ كثيراً عن الحمل الطبيعي. حيث تفرز الغدد في الرحم هرمون الاستروجين والبروجسترون لإعداد بيئة مناسبة لنمو الجنين. ينتفخ كيس الحمل ويتضخم تدريجياً، متوقعاً قدوم الجنين الذي سوف ينمو فيه. ومع ذلك، في حالات كيس الحمل الفارغ، لا يوجد جنين على الإطلاق أو قد يكون هناك جنين ولكنه توقف عن النمو في وقت مبكر جداً.
هناك العديد من الأسباب المحتملة لحدوث كيس الحمل الفارغ، بما في ذلك:
- عيوب جينية: قد تكون هناك مشاكل جينية تمنع البويضة المخصبة من النمو بشكل طبيعي.
- مشاكل في عملية الإخصاب: قد لا تتم عملية إخصاب البويضة بشكل صحيح بسبب مشاكل في الحيوانات المنوية أو البويضة.
- صعوبات في عملية الإرساء: قد لا يستطيع الجنين الالتصاق بجدار الرحم والنمو بسبب مشاكل هرمونية أو عوامل أخرى.
- أمراض معينة: بعض الحالات الطبية مثل متلازمة تكيس المبايض قد تزيد من خطر حدوث كيس الحمل الفارغ.
بغض النظر عن السبب، فإن كيس الحمل الفارغ لا يمكنه الاستمرار في النمو دون وجود جنين. وفي معظم الحالات، سوف ينزف الرحم تلقائياً وتنتهي عملية الحمل على أي حال.
هل يمكن أن يؤثر الحمل بكيس فارغ على الحمل في المستقبل؟
الوقاية والعلاج
تعتمد الوقاية من الحمل بكيس فاضي على تفهم وتجنب الأسباب المحتملة. يجب على الأزواج الراغبين في الإنجاب إجراء فحوصات وتحاليل لتشخيص أي مشاكل صحية قد تؤدي إلى حدوث هذا النوع من الحمل. قد يُوصى بمراجعة طبيب مختص لتقديم المشورة والارشاد بشأن خطط الحمل. للعلاج، يمكن استخدام أدوية لإزالة باقات نسيلة، أو إجراء عملية جراحية لاستئصال كيس فضي، أو إزالة بقاياه بواسطة تنظير بطني. في حال عدم وجود دعم طفل، قد يُستخدَم التلقيح الصناعي أو بويضات مجمدة.
الإجراءات الوقائية لتجنب الحمل بكيس فاضي
تعتمد اسباب الحمل بكيس فاضي على اتخاذ بعض الإجراءات الوقائية. يُنصح بإجراء فحص شامل لتشخيص أي مشاكل صحية قد تؤدي إلى حدوث هذا النوع من الحمل. كما يُوصى بزيارة طبيب مختص للحصول على المشورة والارشاد حول خطط الحمل. يهم ايضًا استخدام وسائل منع الحمل المناسبة لتقليل خطر حدوث الحمل بكيس فاضي، مثل وسائل منع الحمل المهبلية أو دبالة رحم. كان لابد من تفادي التعرض لأي عوامل ضارة أو مؤثرة سلبًا على الجهاز التناسُلِي.
العلاجات المتاحة ومدى فاعليتها
تعتمد العلاجات المتاحة للحمل بكيس فاضي على حالة المرأة وتشخيصها الطبي. قد يتم استخدام أدوية لإزالة باقي خلايا الكيس الفاضي من الرحم، وقد تؤخذ هذه الأدوية عن طريق الفم أو بالحقن. في حالات أكثر تعقيدًا، قد يتطلب العلاج إجراء عملية جراحية مثل التنظير البطني لإزالة الكيس المتبقي. كما يُستخدَم التلقيح الصناعي لـتجهيز كائن مُساعِد بشكلٍ صناعي وغَرْسهُ في رحم المرأة. تُظهِر تلك العلاجات نُسب نجاح متفاوتة حسب حالة المرأة وظروفها، ويلزم وضع خطة علاج شخصية بالتشارك بين المرأة وفريق طبِّى مختص.
قد يهمك:-
